DETAYLI BİLGİ İÇİN BİZE ULAŞIN

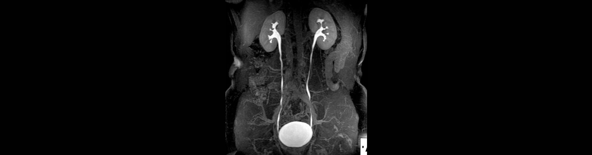
Ürografi MR Nedir?

• Manyetik Rezonans Teknolojisi: Radyasyon kullanılmaz, manyetik alan ve radyo dalgalarıyla görüntüleme yapılır.
• Hedef Bölge: Böbrekler, üreterler (idrar yolları), mesane ve çevresindeki yapılar.
• Non-invazivdir: Girişimsel bir işlem değildir ve genellikle kontrast madde kullanılarak ya da kontrastsız uygulanabilir.
Ürografi MR Neden Yapılır?
1. İdrar Yolu Hastalıkları
• Taş Hastalığı: Böbreklerde, üreterlerde veya mesanede taş tespiti.
• Tıkanıklıklar: İdrar yollarında darlık, tıkanıklık veya genişlemelerin incelenmesi.
• Üreteral Reflü: İdrarın mesaneden üreterlere geri kaçışını değerlendirme.
2. Yapısal Anomaliler
• Doğumsal Anomaliler: İdrar yollarının yapısal bozukluklarının tespiti (örneğin at nalı böbrek).
• Darlıklar: Üreter veya diğer idrar yollarında oluşan darlıkların değerlendirilmesi.
3. Tümör ve Kitleler
• Böbrek ve Mesane Tümörleri: Malign (kötü huylu) veya benign (iyi huylu) tümörlerin tanısı.
• Üreter veya Mesane Kitleleri: İdrar yollarındaki olası tümör veya kitlelerin tespiti.
4. Ameliyat Öncesi ve Sonrası Değerlendirme
• Ameliyat planlamasında idrar yollarının detaylı bir haritasını çıkarma.
• Cerrahi müdahale sonrası iyileşmenin değerlendirilmesi.
5. Fonksiyonel Değerlendirme
• Böbrek fonksiyonlarının ve idrar akışının incelenmesi.

Ürografi MR Nasıl Yapılır?

1. Hazırlık Süreci
• Açlık: İşlem öncesi 4-6 saat aç kalmanız istenebilir.
• Kontrast Madde Kullanımı: Genellikle gadolinyum bazlı kontrast madde kullanılır, ancak bazı durumlarda kontrastsız çekim yapılabilir. Kontrast maddeye alerji durumu varsa önceden doktora bilgi verilmelidir.
• Metal İçeren Eşyalar: MR cihazı manyetik alan kullandığından metal takı ve diğer metal eşyalar çıkarılmalıdır.
2. Çekim Süreci
• Hasta MR cihazına sırtüstü uzanır.
• İdrar yollarının detaylı görüntülenmesi için çeşitli protokoller uygulanır.
• Kontrast madde kullanıldığında, damar yoluyla enjekte edilir ve idrar yollarındaki kan akışı ve fonksiyon değerlendirilir.
• İşlem genellikle 30-60 dakika sürer.
3. İşlem Sonrası
• Hasta işlemden hemen sonra günlük yaşamına dönebilir.
• Kontrast madde kullanılmışsa, bol su içilmesi önerilir.
Ürografi MR Avantajları
• Radyasyon İçermez: Geleneksel radyografik ürografiye (IVP) veya BT’ye kıyasla daha güvenlidir.
• Yüksek Çözünürlük: İdrar yollarının detaylı anatomik ve fonksiyonel görüntülerini sağlar.
• Non-invazivdir: Girişimsel bir işlem gerektirmez.
• Çok Yönlü Kullanım: Hem anatomik hem de fonksiyonel değerlendirme yapılabilir.
Ürografi MR’ın Kullanım Alanları
• Böbrek ve Üreter Taşları: Taşların boyutu, konumu ve tıkanıklığa neden olup olmadığını belirleme.
• Hidronefroz: Böbreklerde sıvı birikimine neden olan tıkanıklıkların tespiti.
• Mesane Hastalıkları: Mesane tümörleri ve diğer patolojilerin değerlendirilmesi.
• Prostat Hastalıkları: Prostatın idrar yollarına baskı yapıp yapmadığını değerlendirme.
Ürografi MR’ın Dezavantajları
• Kontrast Madde Kullanımı:Nadir durumlarda kontrast madde alerjik reaksiyonlara neden olabilir.
• Hareket Hassasiyeti: Hasta hareket ettiğinde görüntü kalitesi düşebilir.
• Yüksek Maliyet: Diğer görüntüleme yöntemlerine göre daha pahalıdır.
• Metal İmplantlar: MR uyumlu olmayan cihazları (örneğin bazı kalp pilleri) olan hastalarda kullanılamaz.
Ürografi MR’ın Geleneksel Ürografiye Göre Avantajları
• Radyasyon içermez.
• Yumuşak dokuları daha iyi görüntüler.
• Daha detaylı anatomik bilgi sunar.
• Tümör ve doku anormalliklerini daha hassas tespit eder.
Ürografi MR, idrar yollarındaki yapısal ve fonksiyonel bozuklukların teşhisinde güvenilir ve etkili bir görüntüleme yöntemidir. Taş hastalıkları, tümörler, darlıklar ve doğumsal anomaliler gibi pek çok durumun değerlendirilmesinde tercih edilir. Doktorunuz, klinik durumunuza göre bu yöntemin uygunluğu hakkında sizi bilgilendirecektir.